
Mesmo em aparelhos de ecografia não dotados de Doppler, é possível identificar insuficiência mitral funcional através de uma alteração morfológica da valva: o sinal da Tenda.Durante a coaptação mitral…
5 JUNHO 2023

Diferente dos exames convencionais, a ultrassonografia Point-Of-Care (POCUS) utiliza preferencialmente uma abordagem inversa: ao invés de partir de um exame a princípio normal e identificar as anormal…
31 MAIO 2023

Diferente dos exames convencionais, a ultrassonografia Point-Of-Care (POCUS) utiliza preferencialmente uma abordagem inversa: ao invés de partir de um exame a princípio normal e identificar as anormal…
30 MAIO 2023

O débito cardíaco é uma variável preciosa em cenários envolvendo pacientes críticos, particularmente doentes em choque, utilizando inotrópicos ou vasoativos.
19 AGOSTO 2022

Publicada originalmente em 2008, a primeira diretriz sobre exercício está sendo atualizada pelo departamento de saúde norte-americano com o objetivo de individualizar a prática de atividade física. Le…
4 AGOSTO 2022

Na metodologia POCUS (UltraSom Point-of-Care) uma imagem bem típica em que visualizamos os 2 átrios bastante dilatados contrastando com ventrículos de tamanho normal, lembrando as 2 bolas em um sorvet…
12 JULHO 2022

Apesar do ciclo repetitivo que nosso corpo passa durante o dia (ritmo circadiano), que envolve ativação neuronal, curvas hormonais, humor e respostas musculo-esqueléticas, até hoje é controverso se ex…
5 JULHO 2022

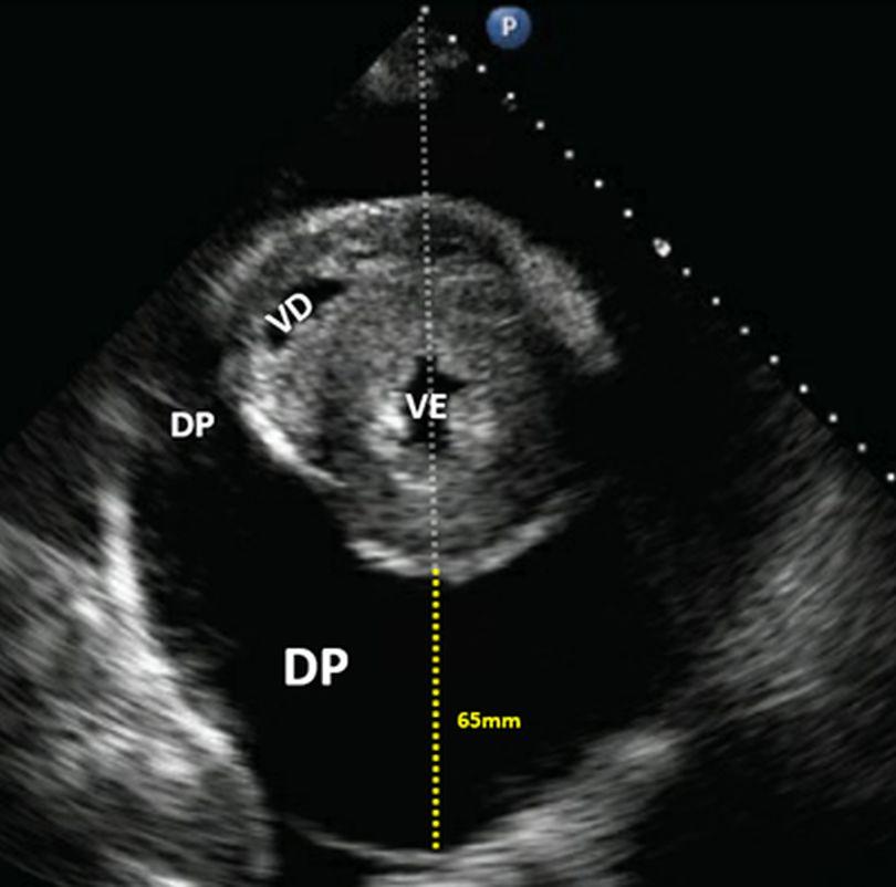
Em ecocardiografia existem inúmeros critérios que muitas vezes exigem experiência prática para avaliação de líquido no pericárdio. Mas quando um iniciante na técnica, e mais particularmente um não eco…
30 JUNHO 2022

A metodologia POCUS (Point of Care UltraSound) corresponde a utilização do ultrassom por médicos treinados mas não especialistas na técnica, funcionando como uma extensão do exame clínico na tomada im…
14 JUNHO 2022

No ecocardiograma tradicional, costumamos avaliar as medidas de volume e de tamanho linear do átrio esquerdo. Principalmente o primeiro já foi relacionado com aumento do risco de certos eventos cardio…
18 MAIO 2022